
2024-06-14T10:37:37
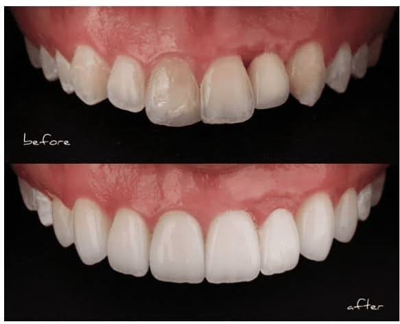
Best Veneers Doctor in Jaipur - Dr. Vaibhav Jain Are you looking to enhance your smile with veneers? Dr. Vaibhav Jain at Paras Dental Care is renowned as the best veneers doctor in Jaipur, providing exceptional cosmetic dental services. With a commitment to excellence and patient satisfaction, Dr. Jain ensures you achieve a stunning smile with high-quality veneers. Why Choose Veneers at Paras Dental Care? Veneers are a popular and effective cosmetic dental solution for transforming your smile. Here’s why you should choose Paras Dental Care for your veneers: 1. Natural Appearance: Our veneers are custom-made to match the shape, size, and color of your natural teeth, ensuring a flawless and natural look. 2. Durable and Long-Lasting: Made from high-quality materials, our veneers are designed to be durable and provide long-lasting results. 3. Stain-Resistant: Veneers are resistant to staining, allowing you to enjoy a bright and beautiful smile for years to come. 4. Minimal Invasive Procedure: The process of getting veneers is minimally invasive, preserving most of your natural tooth structure. Best Veneers Doctor in Jaipur Best Veneers Doctor in Sodala Best Veneers Doctor in Nirman Nagar , Jaipur